All on 4 Dental Implants in Da Nang Have Transformed the Dreams of Thousands
Losing teeth can be a challenging experience, impacting not only one’s oral health but also self-confidence and overall quality of life. Thanks to advancements in modern dentistry, solutions like All on 4 dental implants in Da Nang are now transforming smiles and restoring lives. This innovative technique, which uses just four implants to support a full arch of teeth, has become a game-changer for those seeking comprehensive dental restoration.
What Are All on 4 Dental Implants?
All on 4 dental implants are designed for individuals who have lost most or all of their teeth. Using only four strategically placed implants per jaw, this procedure ensures stability and functionality without the need for additional implants or bone grafting in many cases. The result? A fixed, natural-looking set of teeth that can be achieved in a fraction of the time compared to traditional methods.

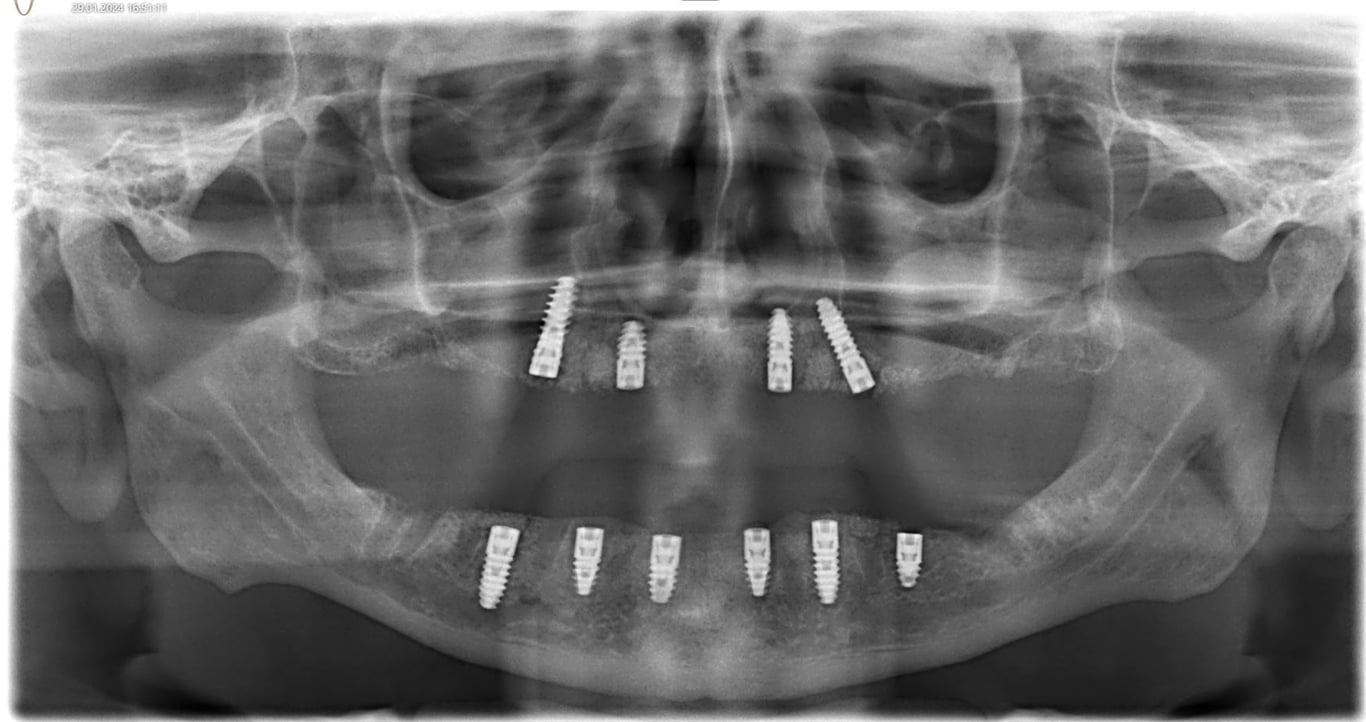
Lisa from USA: Missing all teeth

After: All on 4 upper and lower jaws at Amaris Dental Clinic
Why Choose All on 4 Dental Implants?
Immediate Functionality
Often referred to as “teeth in a day,” this method allows patients to leave the clinic with a temporary set of prosthetic teeth immediately after surgery.
Bone Preservation
The unique angled placement of the posterior implants maximizes bone contact, reducing the need for bone grafting and preserving existing jawbone health.
Enhanced Aesthetics and Comfort
The prosthetic teeth look and feel like natural teeth, improving both appearance and comfort compared to traditional dentures.
Cost-Effectiveness
By requiring only four implants per arch, this technique minimizes costs while delivering excellent results.
The Global Journey of All on 4 Dental Implants
Pioneered by Nobel Biocare in the early 1990s, All on 4 dental implants quickly became a global standard for full-mouth rehabilitation. Vietnam embraced this technology in the early 2000s, with cities like Da Nang leading the way in providing high-quality implantology services.
The Pioneer of All on 4 Dental Implants in Da Nang
Since 2024, Amaris Dental Clinic has been at the forefront of delivering All on 4 dental implants in Da Nang. As the first clinic in the city to offer this revolutionary procedure, Amaris has become synonymous with excellence in dental care. Under the leadership of Dentist Da Nang, the clinic boasts a highly skilled team trained in the latest techniques of implantology.
Why Choose Amaris Dental Clinic for all on 4 Dental Implants?
- Expertise and Experience: Amaris’s team has performed numerous All on 4 Dental Implants procedures with exceptional success rates.
- State-of-the-Art Technology: The clinic employs cutting-edge tools and equipment to ensure precision and safety.
- Patient-Centered Approach: Amaris tailors each treatment plan to the individual’s needs, ensuring comfort and satisfaction.
- Authentic Implant Systems: The clinic uses trusted global brands like Nobel Biocare to guarantee durability and biocompatibility.
Transforming Lives, One Smile at a Time
Patients who choose All on 4 dental implants at Amaris Dental Clinic often describe it as life-changing. Beyond restoring functionality, the procedure improves facial aesthetics, boosts self-esteem, and enables patients to enjoy their favorite foods without worry.
For many, All on 4 Dental Implants is not just a dental solution—it’s a step towards a better quality of life.
Your Trusted Partner for All on 4 Dental Implants in Da Nang
When searching for All on 4 dental implants in Da Nang, look no further than Amaris Dental Clinic. Combining expertise, advanced technology, and a patient-first philosophy, Amaris continues to set the gold standard in dental care.
Book a consultation today and let Dentist Da Nang help you achieve the smile of your dreams. Transform your dental health and rediscover your confidence with Amaris Dental Clinic—the trusted name in All on 4 dental implants in Da Nang.
